牙齒難看,全瓷修復靚牙Ugly teeth, all ceramic restoration for beautiful teeth
NO.1自然通透
引進先進比色技術,通過数十個牙色層次化類比,使成型後的牙齒達到色調一致。
NO.2承壓力強
探用優質材料做内層,有效密合牙隙,能承受1400MPA壓力。
NO.3呵護牙齦
全瓷牙冠,生物相容性好,对牙龈無傷害。
NO.4快速高效
高科技成果應用,僅需幾天就可以輕鬆擁有一顆靚牙。
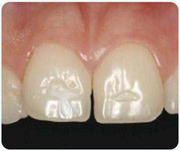
什麼樣的牙齒可以做全瓷牙What kind of teeth can be made into all ceramic teeth
01
牙齒缺損
02
牙縫大
03
變色牙
04
牙型難看
05
牙釉質不全
06
牙齒過小
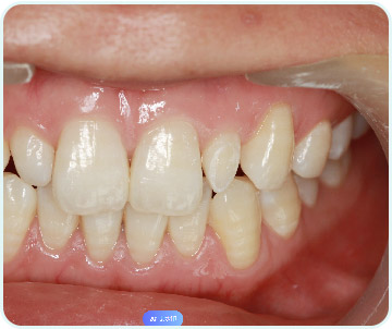
博愛數字化全瓷牙美學修復Boai Digital All Ceramic Teeth Aesthetic Restoration

博愛數字化設計3D立體成像根據自身需求定制模型,展現立體面龐,清晰輪廓感。

01.科學修復

告別傳統手工製作蠟型,個性化數字化設計立體成像

02.品質保障

抗腐蝕性更強,全瓷牙也可以持久佩戴

03.精密製作

堅固耐磨,不輸原生牙效果的硬度

04.隱形便捷

採用3D比色設計,色澤逼真;修復週期更短,不影響工作生活

功能與美學雙重修復Dual Restoration of Function and Aesthetics
博愛數字化美學全瓷牙,參考牙齒黃金比例美學標準,根據臉型、齒態、咬合進行個性化設計,定制專屬美學全瓷牙,達到美齒修復效果。
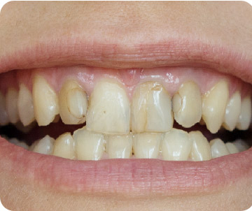
牙齒美學修復成敗關鍵喺醫生The key to the success or failure of aesthetic dental restoration lies with the doctor
醫生技術對烤瓷牙嘅使用壽命同外觀起重大作用
牙齒修復,信賴博愛牙科Teeth restoration, trust and love for dentistry
WhatsApp 加密咨詢 在線預約
1